3 Minute MRI Scan Could Test New Treatment for Childhood Neuroblastoma

Neuroblastoma is a rare cancer mainly effecting children ages five and younger. The cancer is most commonly found in the adrenal glands near the kidneys but neuroblastoma cells can develop in other parts of the abdomen, neck, spine, chest, and parts of the body were groups of nerve cells are present. Neuroblastoma is responsible for 50% of […]
Low Power MRI Enhances Lung Images

A study conducted by the National Heart, Lung, and Blood Institute (NIH) found that low-power, low-field MRI systems were effective at improving lung and cardiac imaging. Researchers found that modifying the magnetic field strength on the MRI system resulted in enhanced lung images. Commercial MRI systems have a magnetic field strength of 1.5 Tesla (T) to 0.55 […]
MRI May Predict Treatment Response in Rheumatoid Arthritis

A study published in Arthritis Care & Research found flammation detected in MRI may predict treatment response in patients with rheumatoid arthritis in the early stages. Researchers analyzed the Assessing Very Early Rheumatoid arthritis Treatment (AVERT) study (ClinicalTrials.gov Identifier: NCT01142726), a phase 3b randomized controlled trial of patients with early RA (persistent symptoms, ≤2 years). The trial was […]
Patient Safety Tips

Patient safety tips before the procedure Certain conditions may prevent you from having an MRI procedure due to the strong magnetic fields used during MRI. Before an MRI, let your doctor and MRI technicians know if the following conditions apply to you. Sometimes, the MRI can be altered depending on the patient’s condition. Pacemaker Pregnancy […]
Who Invented the MRI?

Raymond Vahan Damadian (born March 16, 1936) is an American physician, medical practitioner, and inventor of the first MR (Magnetic Resonance) Scanning Machine. Damadian’s research into sodium and potassium in living cells led him to his first experiments with nuclear magnetic resonance (NMR) which caused him to first propose the MR body scanner in 1969. […]
MRI better than CT in Early Stroke Diagnosis

Patients who arrive at the emergency room with the symptoms of a possible stroke—like sudden numbness, confusion and severe headaches—need a quick and accurate diagnosis to get the right treatment. A study suggests that magnetic resonance imaging (MRI) gives a more accurate early assessment of stroke than the more commonly used computed tomography (CT) imaging […]
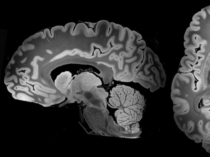
A 100-hour MRI scan captured the most detailed look yet at a whole human brain

Over 100 hours of scanning has yielded a 3-D picture of the whole human brain that’s more detailed than ever before. The new view, enabled by a powerful MRI, has the resolution potentially to spot objects that are smaller than 0.1 millimeters wide. “We haven’t seen an entire brain like this,” says electrical engineer Priti Balchandani […]
Next-Generation Imaging Will Change Prostate Cancer Paradigm

The interview with Dr. Aoun originally appeared on OncLive, the official site of the Oncology Specialty Group, which publishes OncologyLive, Urologists in Cancer Care, and Oncology Nursing News. Novel next-generation imaging modalities have greater visibility than conventional imaging tools, leading to higher detection rates and earlier treatment of early recurrences and metastatic disease among men with prostate […]
MRI Shows Differences in Musicians’ Brains

It’s no surprise that musicians with natural creativity have brains that a wired a little differently. With the help of MRI science shows that these commonly held beliefs are true. Multiple studies have been conducted in the last decade to compile more research on the effects of music on the brain. One study, conducted by researchers […]
MRI and Meningitis

Meningitis is either a bacteria or virus that infects the membranes (meninges) surrounding your brain and spinal cord. Many cases of meningitis are not life-threatening. However, the condition can quickly turn more serious and require medical attention-especially if it is bacterial. Meningitis is particularly common in college dorms due to communal living, shared spaces, and unhygienic […]