Magnetic resonance imaging (MRI) is a technique that uses a magnetic field and radio waves to create detailed images of the organs and tissues within your body.
Most MRI machines are large, tube-shaped magnets. When you lie inside an MRI machine, the magnetic field temporarily realigns hydrogen atoms in your body. Radio waves cause these aligned atoms to produce very faint signals, which are used to create cross-sectional MRI images — like slices in a loaf of bread.
The MRI machine can also be used to produce 3-D images that may be viewed from many different angles.
Why it’s done
MRI is a noninvasive way for your doctor to examine your organs, tissues and skeletal system. It produces high-resolution images of the inside of the body that help diagnose a variety of problems.
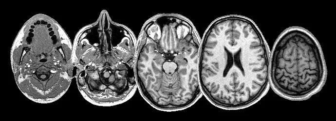
MRI of the brain and spinal cord
MRI is the most frequently used imaging test of the brain and spinal cord. It’s often performed to help diagnose:
- Aneurysms of cerebral vessels
- Disorders of the eye and inner ear
- Multiple sclerosis
- Spinal cord injuries
- Stroke
- Tumors
- Brain injury from trauma
A special type of MRI is the functional MRI of the brain (fMRI). It measures the metabolic changes that occur within the brain. It may be used to examine the brain’s anatomy and determine which parts of the brain are handling critical functions. This helps identify important language and movement control areas in the brains of people being considered for brain surgery. Functional MRI may also be used to assess damage from a head injury or from disorders such as Alzheimer’s disease.
MRI of the heart and blood vessels
MRI that focuses on the heart or blood vessels can assess:
- The size and function of the heart’s chambers
- Thickness and movement of the walls of the heart
- The extent of damage caused by heart attack or heart disease
- Structural problems in the aorta, such as aneurysms or dissections
- Inflammation or blockages in the blood vessels
MRI of other internal organs
MRI may be used to check for tumors or other abnormalities of many organs in the body, including the:
- Liver and bile ducts
- Kidneys
- Spleen
- Pancreas
- Uterus
- Ovaries
- Prostate
MRI of bones and joints
MRI may be used to help evaluate:
- Joint abnormalities caused by traumatic or repetitive injuries, such as torn cartilage or ligaments
- Disk abnormalities in the spine
- Bone infections
- Tumors of the bones and soft tissues
MRI of the breasts
MRI may be used in addition to mammography to detect breast cancer, particularly in women who have dense breast tissue or who may be at high risk of the disease.
source: Mayo Clinic